Macula Degeneration
The macula, located at the back of your eye, is crucial for seeing colours and fine details, like reading or recognizing faces. Age-related Macular degeneration (AMD) affects this area, leading to vision problems. AMD is the leading cause of vision loss in the UK.
Symptoms and Importance of Regular Check-ups:
AMD symptoms include wavy straight lines or missing patches in vision. These may go unnoticed if only one eye is affected, as the other eye compensates. Regularly check each eye separately by looking at straight lines (e.g., door frames) to detect early signs. If you notice distortions or missing patches, see your optometrist immediately.
Types and Effects of AMD:
Age-Related Macular Degeneration (AMD): More common in people over 65.
Symptoms include blurry vision, difficulty reading, and colors fading. Sensitivity to bright light and slow adaptation to different lighting conditions are also common.
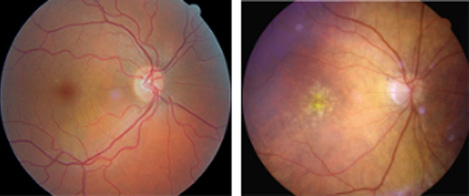
Types of AMD:
- Dry AMD: Most common and develops slowly. Characterized by the gradual degeneration of retinal cells.
- Wet AMD: Less common but more severe. Caused by abnormal blood vessels leaking fluid, leading to rapid vision loss.
Preventive Measures:
- Smoking: A major risk factor for AMD. Quitting smoking is strongly advised.
- Diet and Lifestyle: Maintaining a healthy weight, eating a balanced diet rich in colourful fruits and vegetables, and controlling blood pressure can help reduce the risk.
Self-Check and Professional Care:
Regularly test your vision using tools like the Amsler chart. If you notice any changes, contact your optometrist immediately.
Early detection of wet AMD is crucial as it can be treated with injections to slow progression.
No current treatment for dry AMD, but good lighting and high-contrast text can aid reading.
Support and Resources:
For additional help, visit organizations like the RNIB or the Macular Society. They offer resources and support for managing AMD.

Normal retinal appearance and drusen deposits in dry AMD


